담배를 못 끊는 건 당신 잘못이 아니라 뇌 잘못이다(연구)
페이지 정보
관리자 작성일15-05-15 12:47 조회11,134회 댓글0건관련링크
본문

담배를 끊는 사람과 못 끊는 사람의 차이는 뭘까?
한 연구에 따르면 담배를 끊는 것은 단순한 의지의 문제가 아니라 뇌의 충동과 열망을 관장하는 섬엽(insular)의 연결성과 연관이 있다고 밝혔다.
미국 듀크 대학 의과대학 정신의학·행동과학교수 조지프 매클러넌 박사는 "금연의 성공과 실패 여부는 우리가 열망이나 충동과 관련이 있다고 알고 있는 뇌의 부위와 관련이 있습니다."라고 밝혔다.
이들은 금연에 성공한 사람과 실패한 사람의 차이를 설명하기 위해 85명의 뇌를 fMRI로 촬영하고 그로부터 1개월 후 담배를 끊으라는 주문했다.
이후 10주간 니코틴 대체 요법을 시행하며 추이를 관찰한 결과 중 44명은 금연에 성공하고 나머지 41명은 중간에 담배를 다시 피우기 시작했다.
연구팀은 이 결과를 바탕으로 해당 실험군이 실험 전에 찍은 뇌 MRI 영상을 비교·분석해 보았는데 놀라운 결과가 나타났다.
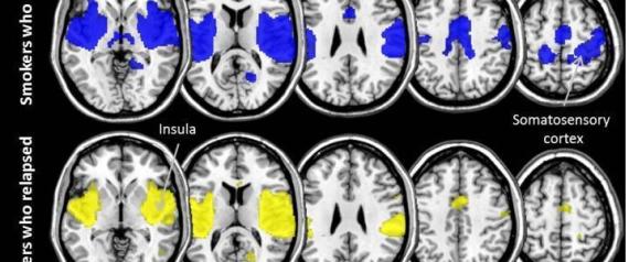
위는 금연에 성공한 사람의 뇌. 아래는 10주 내에 금연에 실패한 사람의 뇌다.
연합뉴스에 따르면 그 결과 금연에 성공한 그룹은 보상을 관장하는 뇌 부위인 섬엽(insular)과 충동 행동을 통제하는 뇌 부위인 체성감각 피질(somatosensory) 그리고 이 두 부위를 연결하는 신경회로의 기능이 금연에 실패한 그룹에 비해 훨씬 강한 것으로 밝혀졌다고 한다.
이 매체는 또한, 금연에 성공한 사람들의 이러한 뇌 기능 패턴은 흡연량과 관계없이 강하게 나타났지만, 금연에 실패한 사람들은 이러한 특정 뇌 부위의 활동이 약했다고 전했다.
따라서 금연을 시도하는 사람은 미리 뇌 MRI를 통해 이러한 특정 뇌 부위의 활동을 살펴보고 실패할 가능성이 큰 것으로 나타나면 더 강력한 금연대책을 세울 필요가 있을 것이라고 매클러넌 박사는 지적했다.
"이 섬엽이 뇌의 다른 부위에 담배를 집어 들 것인지 말 건지에 대해 매시지를 보내는 것 같습니다." 연구팀의 조교수인 메리데스 애디콧(Merideth Addicott)박사의 말이다.
연합뉴스는 또한 충동 조절에 문제가 있는 사람들이 금연하기 위한 대책으로는 문제 부위의 신경회로 연결을 강화하는 데 도움이 되는 신경피드백(neurofeedback)요법이나 경두개자기자극(TMS: transcranial magnetic stimulation)을 고려할 수 있다고 소개했다.
조지프 매클러넌 박사는 신경피드백 요법은 전에 어떤 유혹을 뿌리치는 데 성공한 기억을 떠올리게 함으로써 섬엽 신경회로의 연결을 강화하는 것이고 경두개자기자극은 강한 자기장을 이용해 뇌의 특정 부위를 자극, 활성화시키는 치료법이라고 설명했다.
댓글목록
등록된 댓글이 없습니다.













